枚方市長尾・藤阪の歯医者・歯科医院

〒573-0157 大阪府枚方市藤阪元町3-35-1
JR学研都市線(片町線)「長尾駅」「藤阪駅」から徒歩9分

診療時間
9:00~12:30    
14:00~18:30    
9:00~13:30            

休診日:土曜午後・日曜・祝日

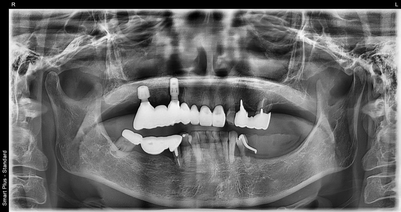
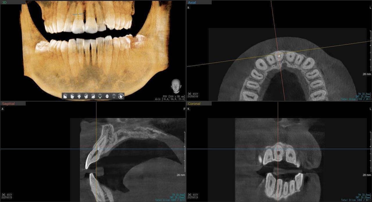
インプラントの症例

枚方市の「とくだ歯科クリニック」がインプラントの症例をご紹介します。

インプラント症例(ページ2)

インプラントの症例 (ページ2)インプラントの症例 ページ 、3、4,5(3以降は製作中)

ページの番号を押すとページにリンクします。

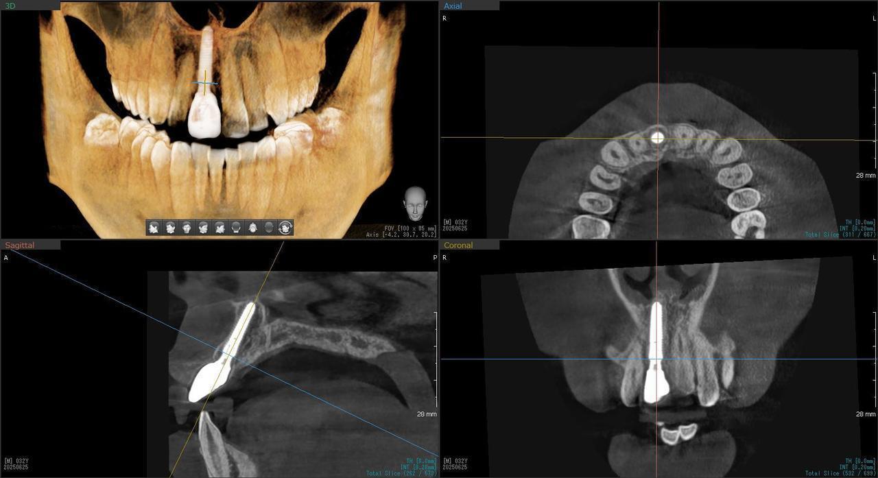
1.外傷で、歯根破折した前歯の治療を2.5か月で治療を完結したケース

Before

枚方市のインプラントの症例
枚方市のインプラントの症例
枚方市のインプラントの症例

術後の仮歯をつけた状態

After

枚方市のインプラントの症例
枚方市のインプラントの症例
S・H様 男性30代
 
症状としては、外傷のために、右上1番が歯根破折を起こしていた。
 
治療法としては、レントゲン等の診断の結果、歯が根元まで折れているため、抜歯が必要となったため、インプラント治療をご希望された。治療内容としては、その日に抜歯を行い、当日にインプラントの仮歯までを装着しています。その後、口腔内スキャナーで印象を行い、最終ジルコニアクラウンで最終補綴を行っています。
 
治療結果として、2.5か月で抜歯から最終補綴までの治療が完了できました。かみ合わせの関係で、仮歯がは破折して、ご迷惑をおかけしたこともありましたが、通常の2.5か月で治療をおえることができ、歯肉の形態と歯の形態を隣の前歯と調和する形態に整えることができました。
 
治療の期間・回数:治療期間2.5か月 6回の治療回数
 
治療の価格:385000円(税込)
治療費の内訳:インプラント基本料(フィックスチャー及び手術費用、投薬費用、レントゲン費用、インプラント上部費用(アバットメントおよびジルコニアクラウンの費用用)330000円。 抜歯即時埋入・即時負荷加算(プロビショナルレストレーション費用・人工骨費用・暫間アバットメント費用・抜歯費用を含む)55000円(税込)
治療のリスクや副作用:手術後に、痛みや腫れ、出血、合併症などを引き起こす可能性があります。噛む感覚がご自身の歯と異なる場合があります。見た目がご自身の歯と異なる場合があります。手術後にメインテナンスを継続しないと、インプラントが抜け落ちる可能性があります。

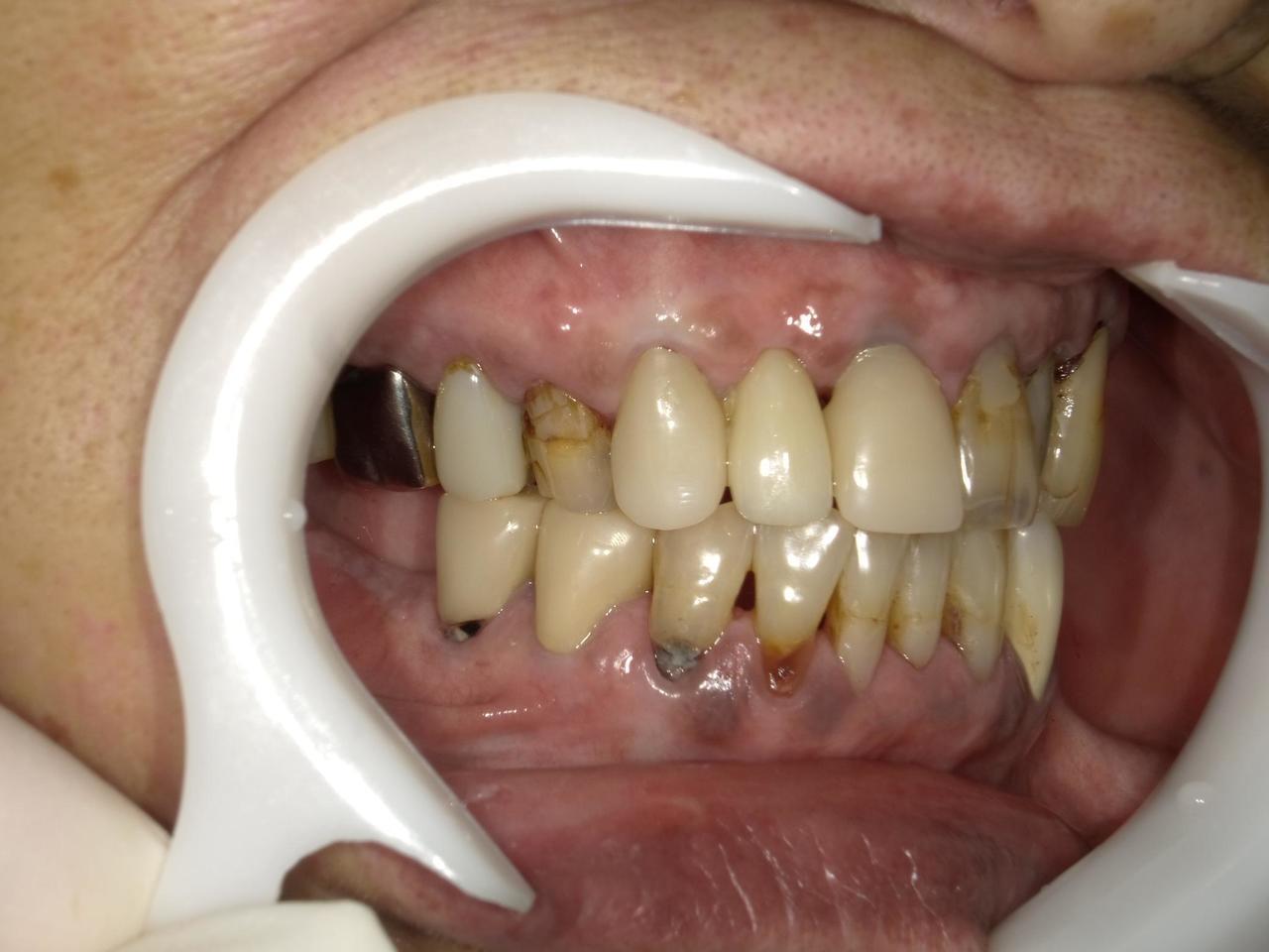
2.右上2番の前歯が、虫歯で折れてしまって、インプラント埋入当日に抜歯とインプラント埋入、仮歯まで装着して、2か月半で最終的な歯を入れたケース

Before

枚方市のインプラントの症例
枚方市のインプラントの症例
枚方市のインプラントの症例

術後の仮歯をつけた状態

After

枚方市のインプラントの症例
枚方市のインプラントの症例

K・Y 様 女性 50代

右上の2番3番がカリエスと食いしばりにより、破折したため、インプラント治療を希望

治療法としては、右上2番3番ともに、保存は、難しそうだったっが、患者様の希望もあり、右上3番は、歯を保存して、保険治療の前歯部のCADCAM冠で、どうしても残すことが無理であった右上2に関しては、インプラント手術、当日に抜歯をおこない、インプラント埋入をおこない、仮歯まで装着して、硬いものは、避けてもらうことを条件に食事ができる状態と歯がある状態で手術を終えました。その後、で2か月後にデジタル印象をおこない、2か月半で最終的なジルコニアの歯を入れ、治療を終えることができました。

治療の期間・回数:約2か月半、5回
治療の価格:404000円(税込)
治療費の内訳:インプラント基本料(フィックスチャー(ストローマン BLTインプラント使用)及び手術費用、投薬費用、レントゲン費用、インプラント上部費用(アバットメントおよびジルコニア)クラウンの費用用)360000円(税込み)オプション費用:抜歯即時埋入即時負荷加算(人口コツ費用を含む) 費用 44000円(税込み)
治療のリスクや副作用:手術後に、痛みや腫れ、出血、合併症などを引き起こす可能性があります。噛む感覚がご自身の歯と異なる場合があります。見た目がご自身の歯と異なる場合があります。手術後にメインテナンスを継続しないと、インプラントが抜け落ちる可能性があります。

3.右上4番の著しい根露出と歯の周囲の骨の大きな欠損を伴った症例を2か月半で治療を終えたケース
 

Before

枚方市のインプラントの症例
枚方市のインプラントの症例

After

枚方市のインプラントの症例
枚方市のインプラントの症例

M様 60代女性

症状としては、右上4番の根露出による動揺と疼痛がありました。

治療法としては、炎症が強いため、抜歯を行いました。その後、インプラント治療を希望されたため、インプラント埋入と、骨欠損部に人口骨を填入して、骨欠損部と歯肉の欠損部の回復を試みました。2か月後、歯肉の回復とインプラントの安定をみとめたため、デジタルにて印象を行い、2か月半後にインプラント上部ジルコニアを装着して治療を終えました。

治療結果としては、大幅な歯肉・骨欠損があったが、2か月半という短い期間での治療を完了することができ、かつ、十分な、歯肉も回復したため、ブラッシングしやすい環境を付与することができたため、インプラント周囲炎のリスクを軽減することができると考えます。

 

治療の期間・回数:約2.5か月、6回
治療の価格:352000円(税込)
治療費の内訳:インプラント基本料(フィックスチャー(メガジェン AnyOne使用)及び手術費用、投薬費用、レントゲン費用、インプラント上部費用(アバットメントおよびジルコニアクラウンの費用用)330000円(税込み)。人工骨費用 22000円(税込み)
治療のリスクや副作用:手術後に、痛みや腫れ、出血、合併症などを引き起こす可能性があります。噛む感覚がご自身の歯と異なる場合があります。見た目がご自身の歯と異なる場合があります。手術後にメインテナンスを継続しないと、インプラントが抜け落ちる可能性があります。

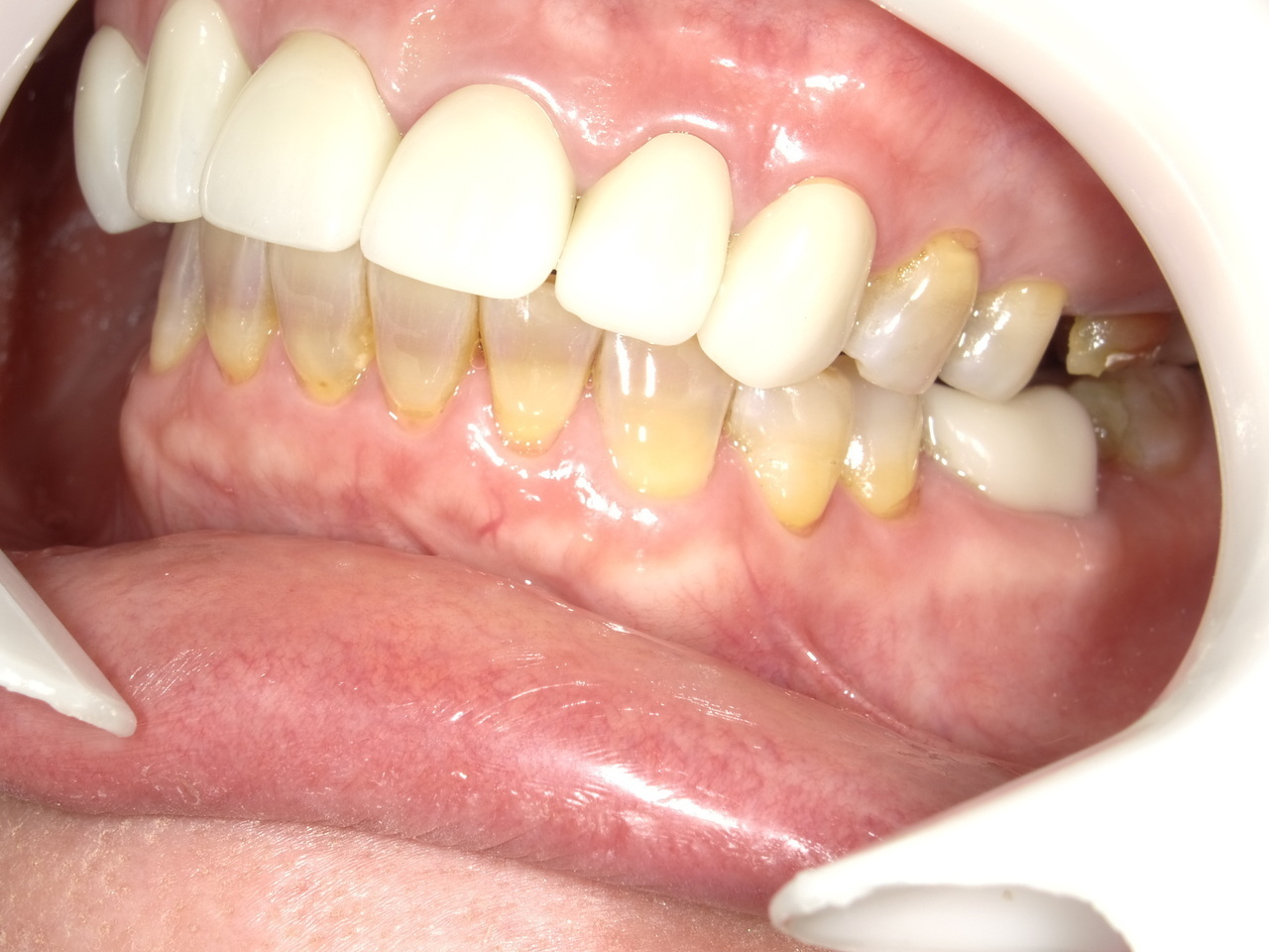
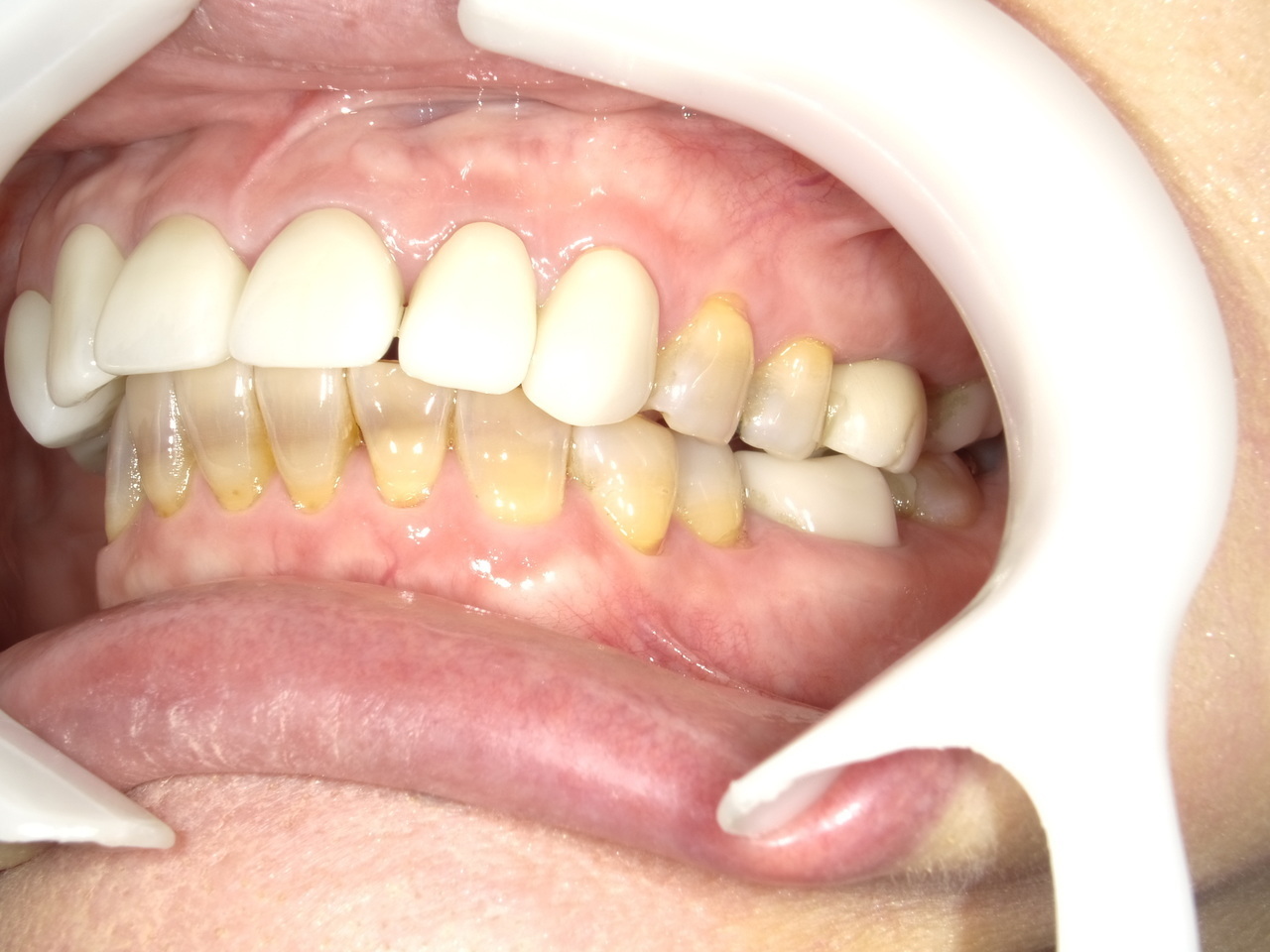
4.右上4~7番が重度に動揺しているために、抜歯した当日にインプラントを埋入して、3か月で最終的な歯を完成させたケース
 

Before

枚方市のインプラントの症例
枚方市のインプラントの症例

After

枚方市のインプラントの症例
枚方市のインプラントの症例

K・S様 女性 60代

症状としては、 右上4から7番までのすべての歯の著しい動揺があり、食事が困難であった。

治療法としては、患者様は、患者様が3か月以内の治療完了を望んでいたために、炎症が若干あったが、右上4から7番ぼすべての抜歯を行い、右上4番(抜歯即時埋入)、右上6番(上顎洞までの骨がほとんどないため、グラフトレスサイナスリフト施行)にインプラントを1回法で手術を終え、2か月半後にインプラントの状態が安定したために、3か月で上部構造の、右上456のジルコニアブリッジを装着して、治療を終えています。

治療結果としては、抜歯したと同時にインプラントを埋入することで、抜歯した穴が自然に治る過程で、インプラントの骨結合と組織の治癒が同時に行われるために、3か月という治療期間で治療を終了することができたことと、機能面・審美面でも回復を行うができた。また、右上6番に関しては、グラフトレスサイナスリフトを行うことで、従来のサイナスリフトに比べ、約9か月早く治療を終えることができました。

 

治療の期間・回数:約3か月、インプラント抜歯即時埋入から最終補綴物装着まで8回
治療の価格:792000円(税込)
治療費の内訳:インプラント基本料(フィックスチャー(メガジェンインプラントANYONE使用) 及び手術費用、投薬費用、レントゲン費用、インプラント上部費用(アバットメントおよびジルコニアクラウンの費用用)330000円×2 660000円(税込み)。オプション、抜歯即時埋入加算(人工骨費用を含まず)5500円×2 11000円(税込み)右上5ジル9コニアブリッジのポンテック費用 88000円 右上6グラフトレスサイナスリフト費用 33000円(税込み
治療のリスクや副作用:手術後に、痛みや腫れ、出血、合併症などを引き起こす可能性があります。噛む感覚がご自身の歯と異なる場合があります。見た目がご自身の歯と異なる場合があります。手術後にメインテナンスを継続しないと、インプラントが抜け落ちる可能性があります。

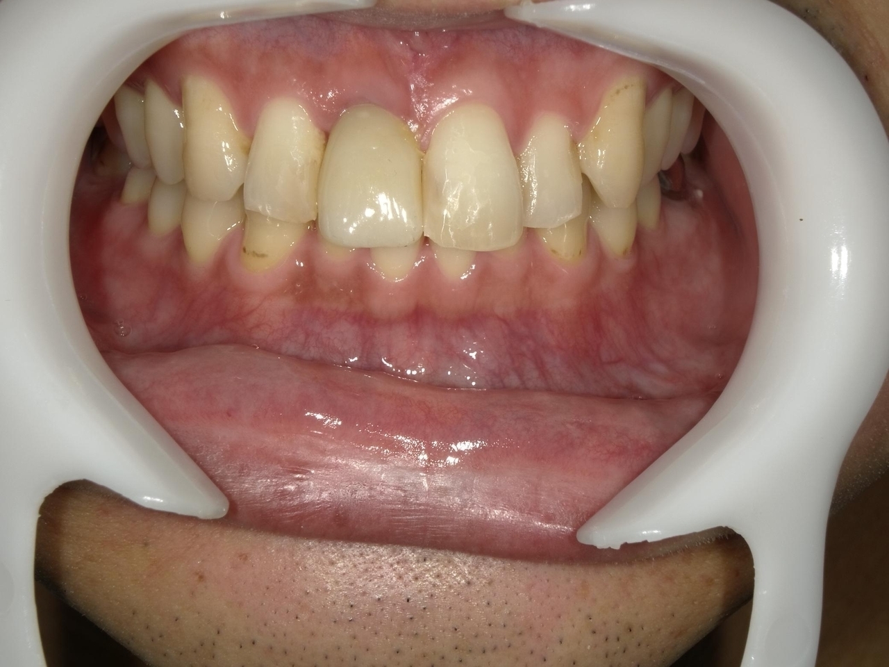
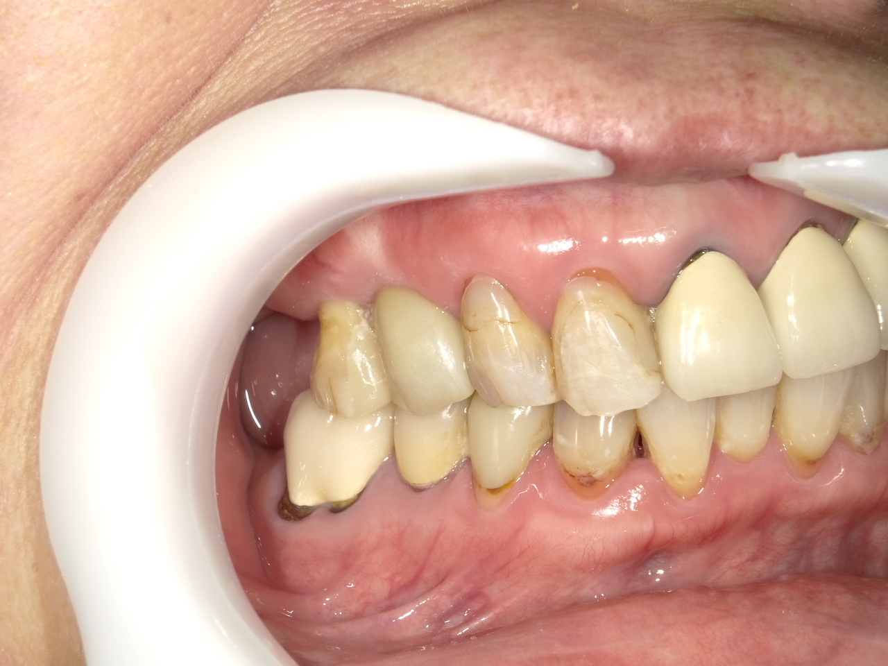
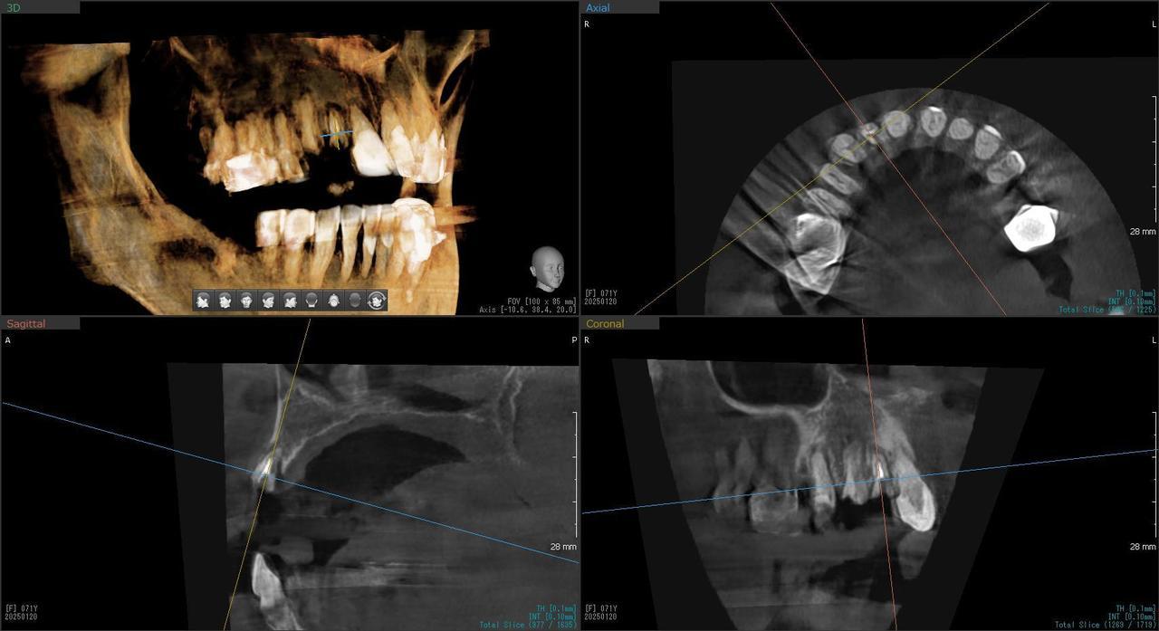
5.右上6番の歯根が破折したに大きな骨欠損を生じたケースに対して、通常なら、大幅な増骨手術(GBRとサイナスリフト)が必要で、最低1年は、かかるケースを、骨補填材なしで、インプラント埋入後、2.5か月で治療を終えたケース

Before

枚方市のインプラントの症例
枚方市のインプラントの症例
枚方市のインプラントの症例

After

枚方市のインプラントの症例
枚方市のインプラントの症例
枚方市のインプラントの症例

H・M様 女性 60代

症状としては、左上6番の歯根が歯根が破折したために、炎症が起き、上顎洞底までの及ぶ大きな骨欠損がおきていた、

治療法としては、動揺がひどくなってきて、炎症の症状もあったため、抜歯を希望。抜歯後にインプラント治療を希望したために、CTを撮影したところ、かなりの骨欠損が生じていた。インプラントは不可能か大幅な増骨手術が必要なるようなケースであったが、ご自分の骨が少し残っていた部分にエクストラワイドインプラントで固定をとることと、グラフトレスサイナスリフトを併用する計画を立て、インプラント埋入術を施行。2か月後、インプラントがデータ測定上安定したために、光学印象で印象を行い、2か月半後に上部としてジルコニアクラウンを装着して治療を終えています。

治療結果として、大幅な骨欠損があったが、2か月半という短時間で治療を終えることができた。通常のサイナスリフト等の大幅な増骨手術を行った場合、患者様に、肉体的、金銭的、時間的な負担をかけることになったが、グラフトレスサイナスリフトとエクストラワイドインプラントを使用することにより、そのことを避けることができた。

 

治療の期間・回数:治療回数インプラント埋入後6回
治療の価格:363000円(税込)
治療費の内訳:インプラント基本料(フィックスチャー(メガジェンインプラントANYONE) 及び手術費用、投薬費用、レントゲン費用、インプラント上部費用(アバットメントおよびジルコニアクラウンの費用用)330000円(税込み)左上6グラフトレスサイナスリフト費用 33000円(税込)
治療のリスクや副作用:手術後に、痛みや腫れ、出血、合併症などを引き起こす可能性があります。噛む感覚がご自身の歯と異なる場合があります。見た目がご自身の歯と異なる場合があります。手術後にメインテナンスを継続しないと、インプラントが抜け落ちる可能性があります。

枚方市でインプラント治療が上手い歯科医院をお探しですか?「とくだ歯科クリニック」は、痛みの少ない治療を目指し、明確な費用を提示する歯医者です。

 

インプラントの症例 ページ 、4,5(4以降は製作中)

ページの番号を押すとページにリンクします。

枚方市の歯医者・歯科医院ならとくだ歯科クリニック

とくだ歯科クリニック 院長 德田 信吾

資格

歯科医師

検診・歯石とり・歯のクリーニング・フッ素塗布などもご予約いただけます。3か月先のご予約もお気軽にどうぞ。

072-851-0500

診療時間

 
午前
午後

月から金 午前:9:00~12:30
     午後:14:00~18:30
土    △  9:00~13:30

休診日:土曜午後・日曜・祝日

072-851-0500

〒573-0157
大阪府枚方市藤阪元町3-35-1

・「藤阪中町」バス停から徒歩1分

・JR学研都市線(片町線)
 「長尾駅」「藤阪駅」から徒歩9分、
車で5分
 「津田駅」から車で9分
 「松井山手駅」から車で11分
・京阪本線「枚方市駅」から車で20分