枚方市の歯医者・歯科医院

〒573-0157 大阪府枚方市藤阪元町3-35-1

診療時間
9:00~12:30    
14:00~19:00    
9:00~13:00            

休診日:土曜午後・日曜・祝日

インプラントの症例

枚方市の「とくだ歯科クリニック」がインプラントの症例をご紹介します。

インプラント症例(ページ1)

 

インプラントの症例 ページ 、3、4,5(3以降は製作中)

ページの番号を押すとページにリンクします。

 

 

インプラント症例(ページ1)
目次

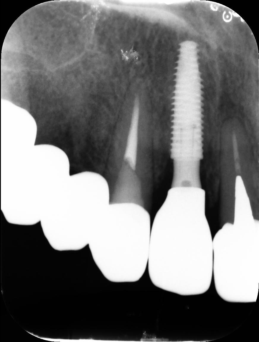
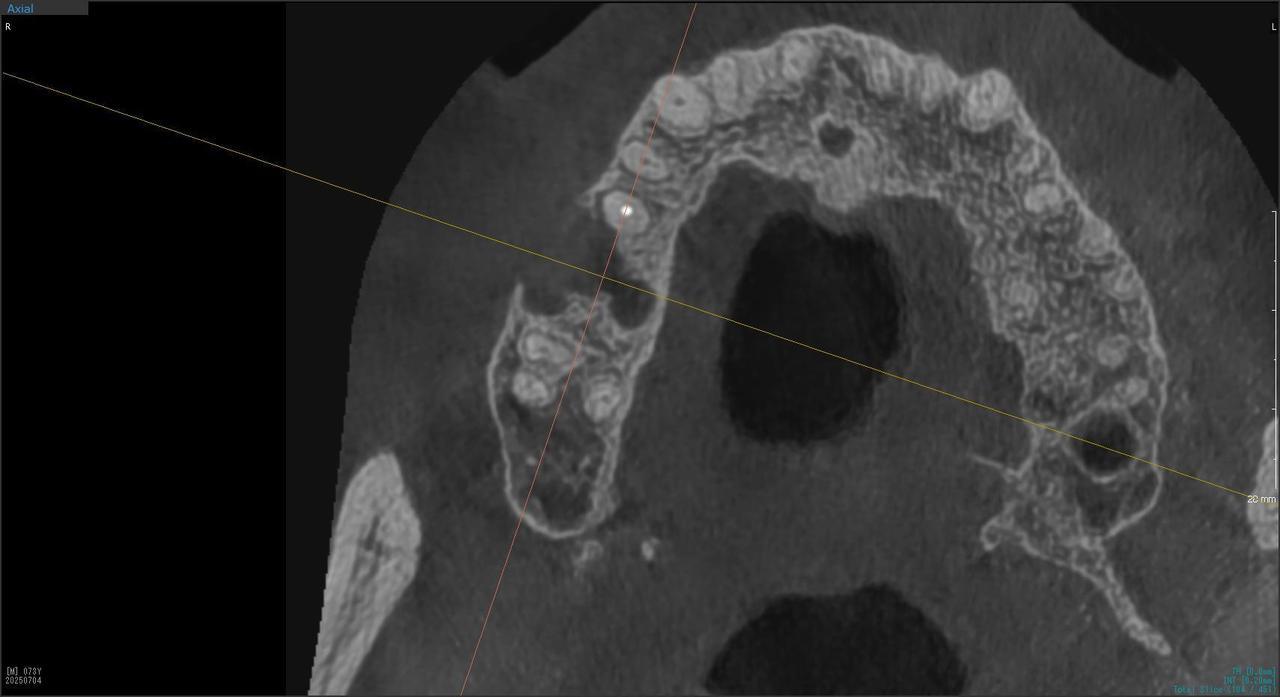
  1. 左上3番 インプラント抜歯即時埋入即時荷重(手術当日に抜歯を行い、当日に仮歯を入れています。)、左上4番 3ユニット式ブリッジが入るまでの暫間インプラントを埋入して当日に仮歯の装着。 左上5 既存骨3mmのグラフトレスサイナスリフト。最終補綴は、3ユニットジルコニアブリッジで治療を終えた症例
  2. 右上6番の上顎既存骨2mmしかなく、グラフトレスサイナスリフト(骨補填剤を使わない上顎洞挙上術)というテクニックを使用して、治療期間2.5か月・6回の通院で治療が完結したケース
  3. 左上5の頬・舌側の大幅な骨欠損と上顎既存骨3mmまでの骨欠損がおこった症例に対しておこなったインプラント治療
  4. 抜歯即時埋入を行い、治療期間2か月・4回の通院でインプラント治療を完結したケース。
  5. 左上4番のインプラント抜歯即時埋入、左上6番の上顎既存骨1から2mmのグラフトレスサイナスリフト、左下56の大幅な骨欠損により、下顎神経の損傷を回避するために、ショートインプラントを使用し、左下56にインプラントを埋入し、最終補綴物は、左上456の3ユニットのジルコニアブリッジし、左下56は、ジルコニアの連結冠を装着したケース
  6. 外傷で前歯の歯根破折した前歯の治療を2.5か月で完結したケース

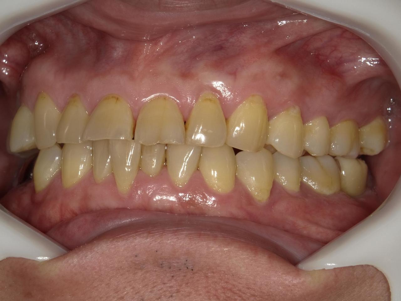
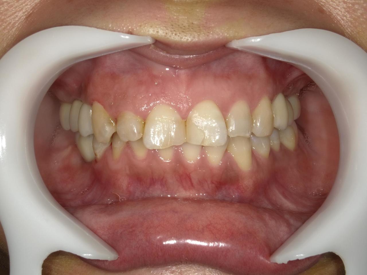
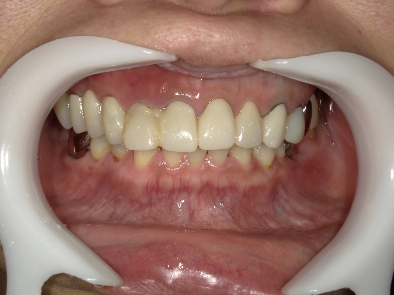
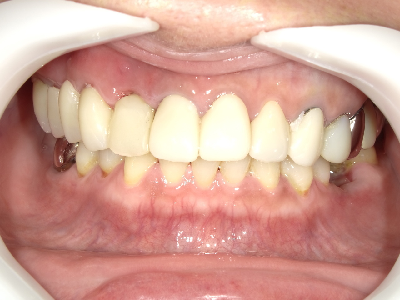
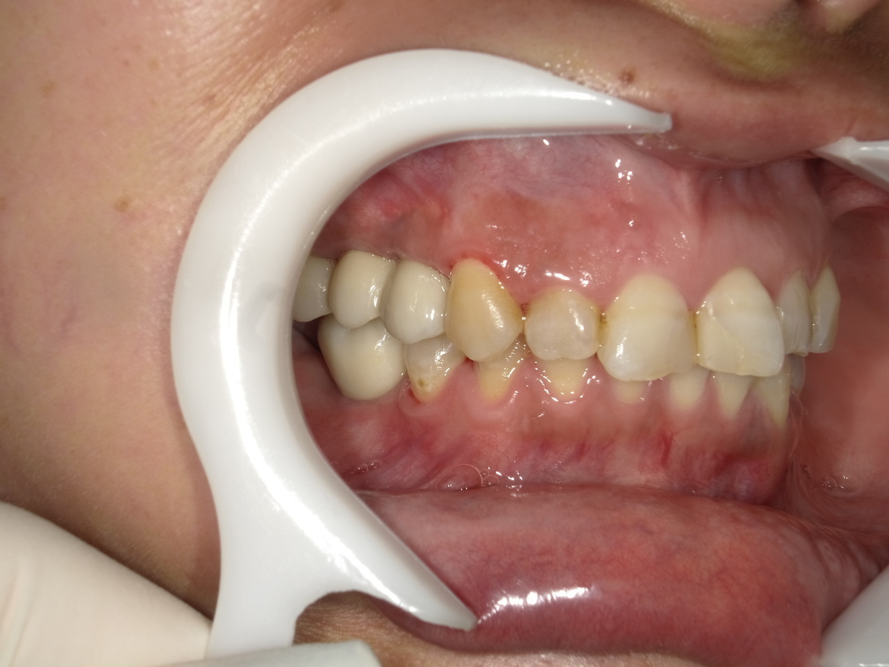
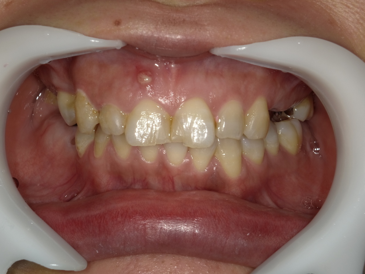
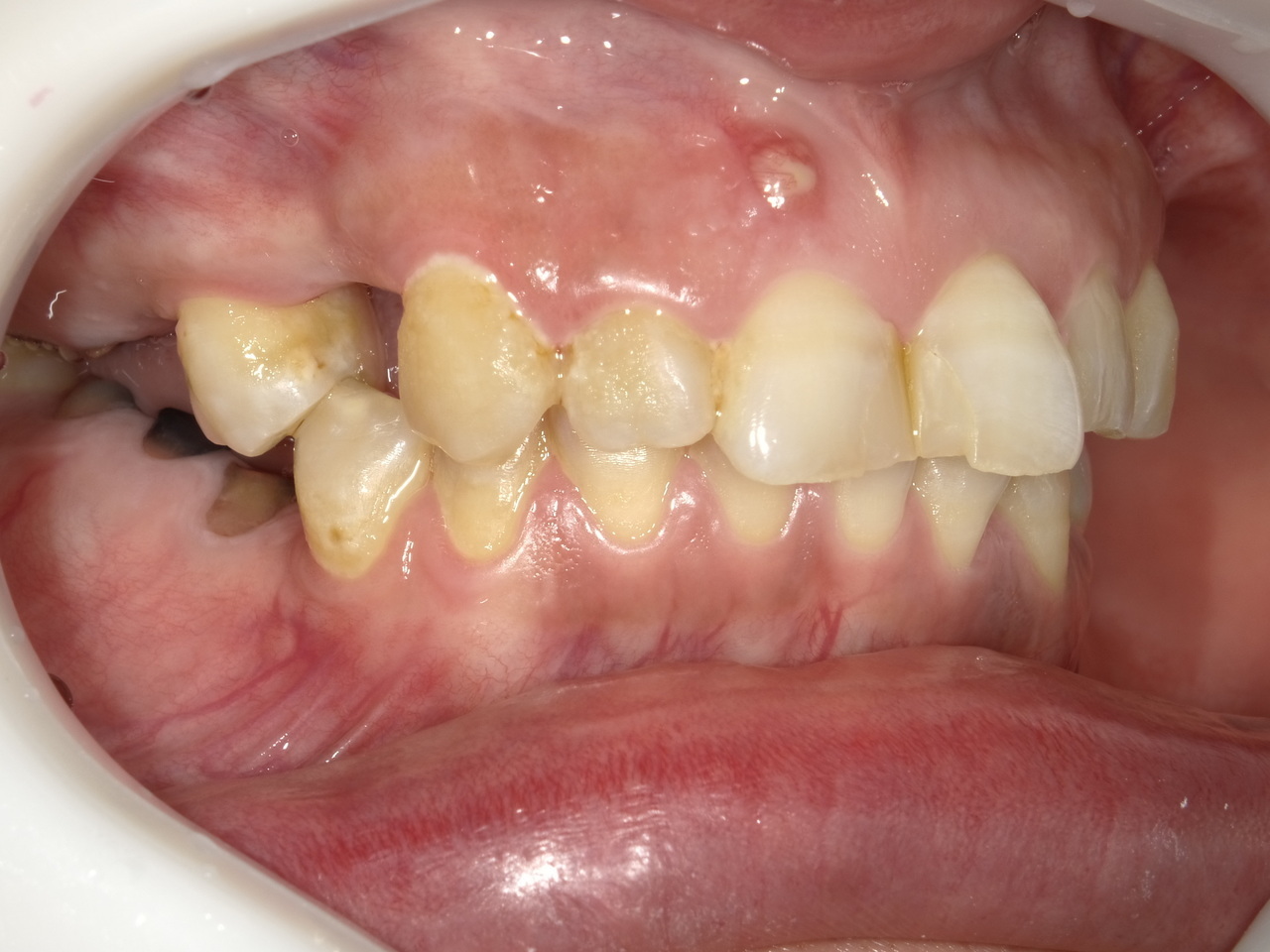
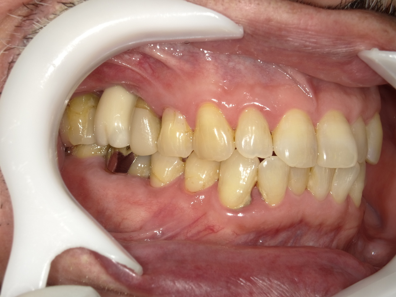
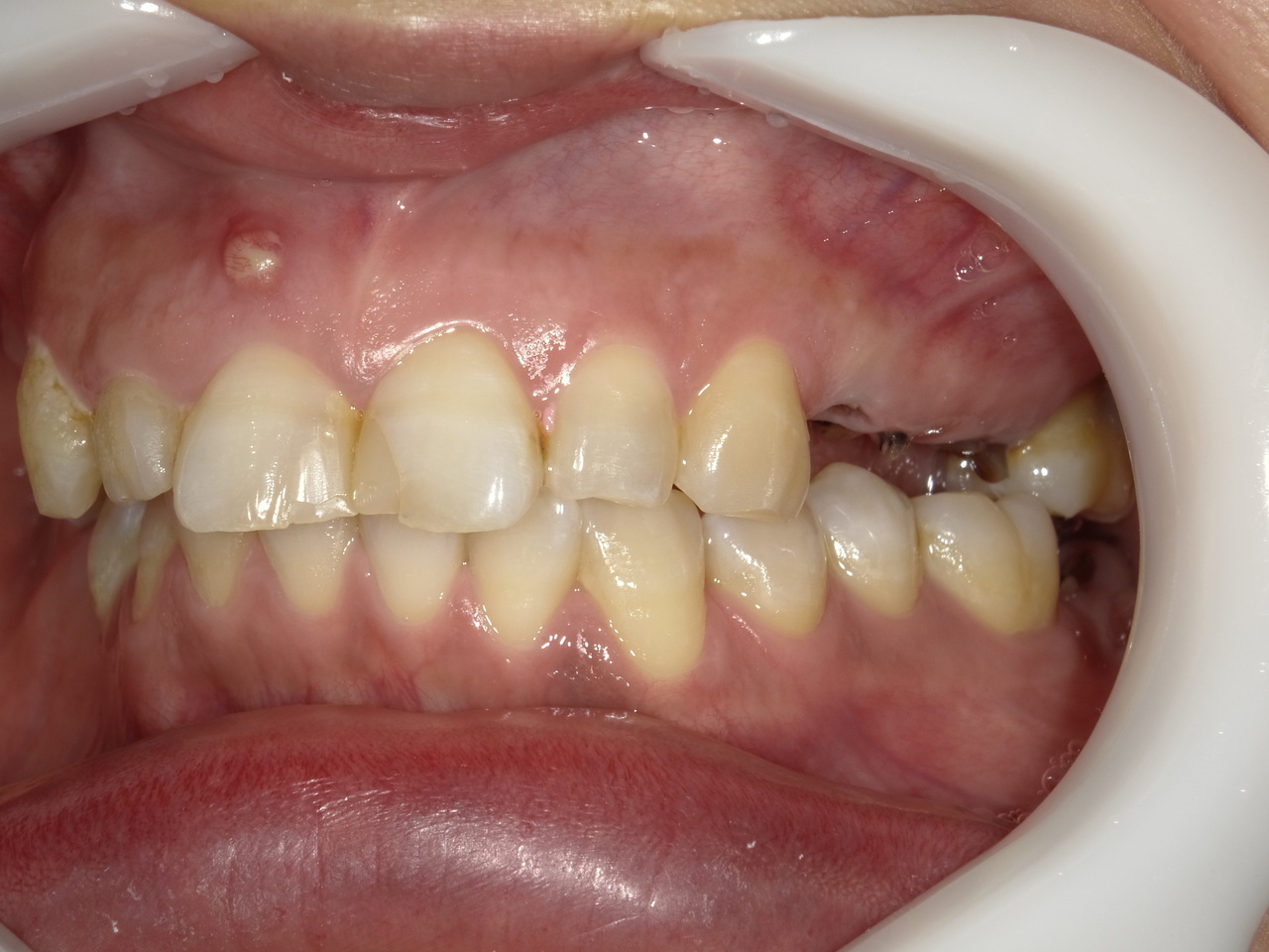
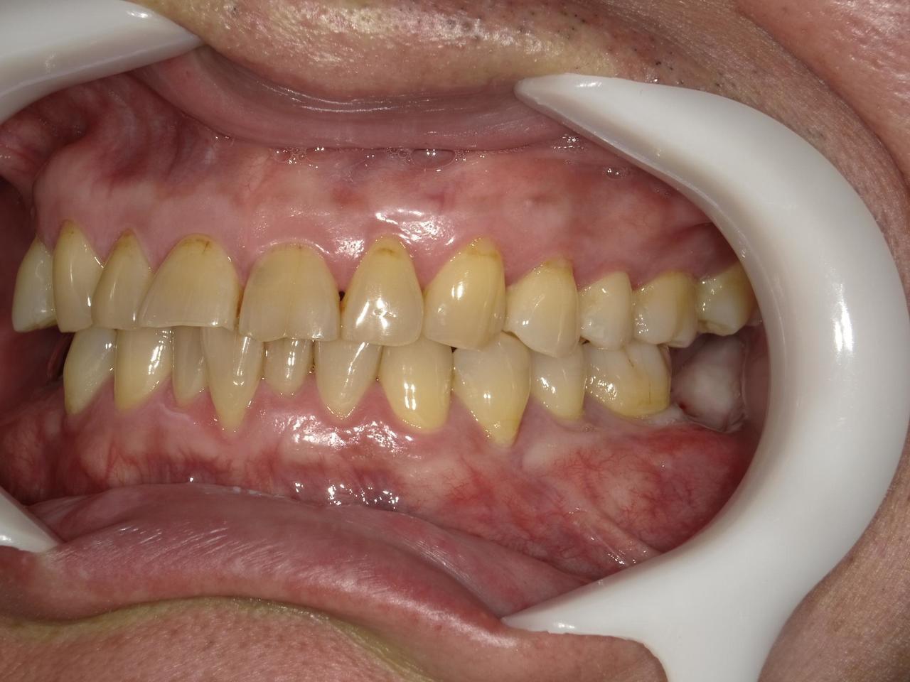
1.左上3番 インプラント抜歯即時埋入即時荷重(手術当日に抜歯を行い、当日に仮歯を入れています。)、左上4番 3ユニット式ブリッジが入るまでの暫間インプラントを埋入して当日に仮歯の装着。 左上5 既存骨3mmのグラフトレスサイナスリフト。最終補綴は、3ユニットジルコニアブリッジで治療を終えた症例

Before

枚方市のインプラントの症例
枚方市のインプラントの症例

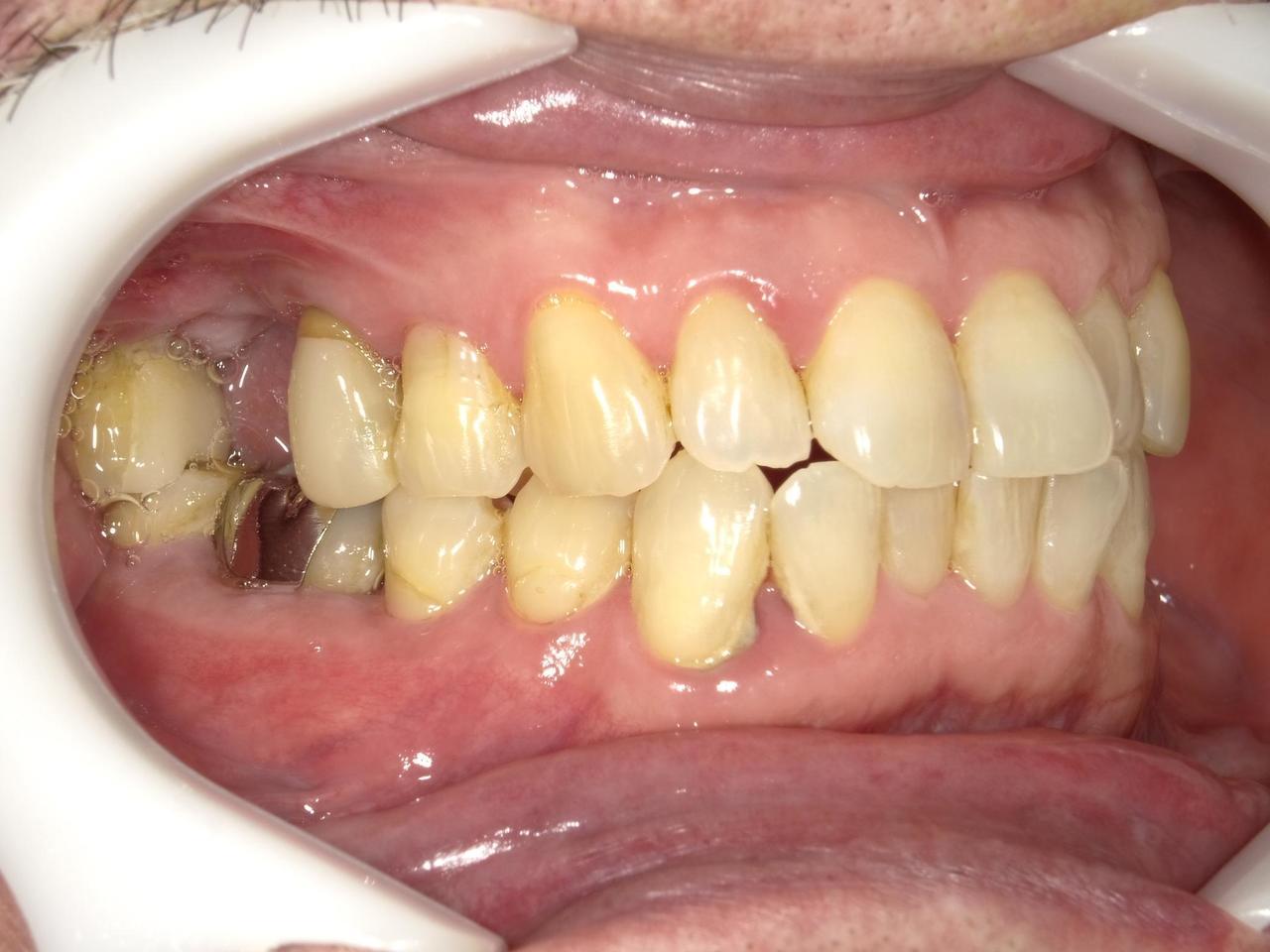
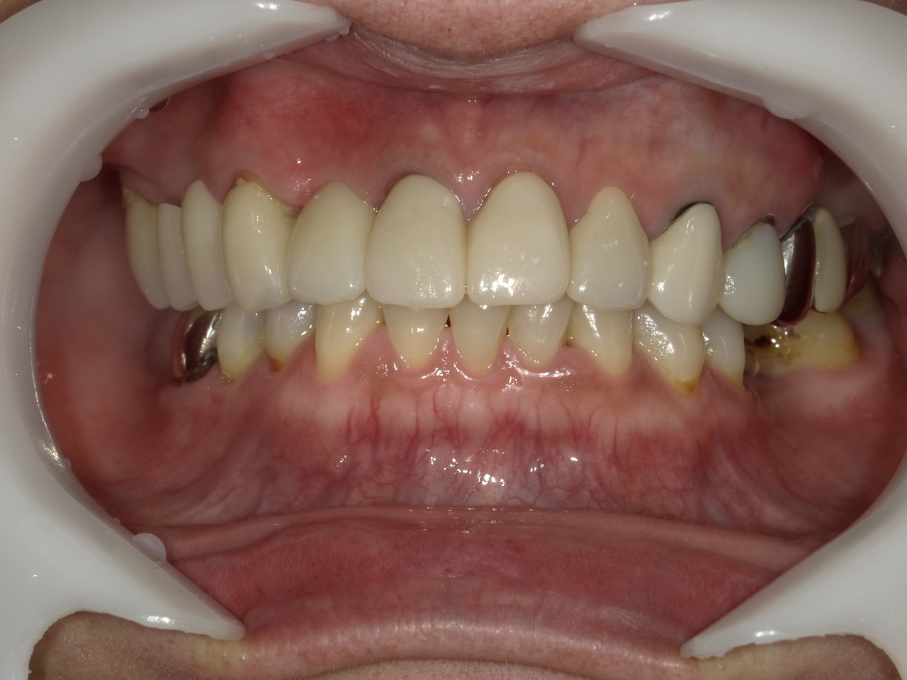
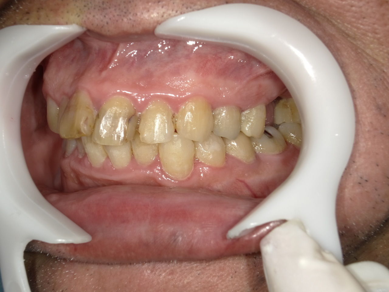
After

枚方市のインプラントの症例
枚方市のインプラントの症例

E・S様 女性 60代

患者様の症状としては、左上5番の排膿と重度の歯の動揺、重度の骨吸収、左上3番、中程度の骨吸収と中程度の歯の動揺、自発痛がありました。

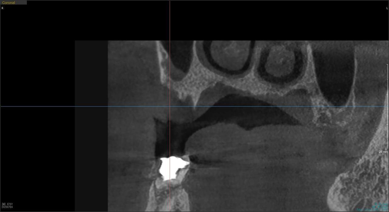
治療法としては、左上3456にブリッジ治療が行われていたが、左上5の骨吸収と排膿を認めるために抜歯を行った2か月後に、患者様は、インプラント治療を希望。左上3の骨吸収と動揺も認めていたために、左上3を保存しても将来的な抜歯が予想されたため、左上3抜歯しての左上345の3ユニット式ブリッジ治療の計画を立てインプラント手術を行っています。患者様は、前歯がないことを気にされていたため、左上3番の抜歯と同時の仮歯製作と左上4番暫間インプラントにての仮歯製作を手術と同時に行っています。また、左上3番の歯肉退縮を予防するために、ご自分の歯の一部を温存するルートメンブレンテクニックを行っています。左上5に関しては、既存骨が3mm程度しかないので、グラフトレスサイナスリフトを施行して、表面の骨吸収した部分に骨補填材填入して、ボリュームを維持させていただいています。最終的な3ユニットブリッジは、ジルコニアで製作しています。補綴物の製作に関しては、オールデジタルで行っています。

治療結果は、患者様の希望通り、見えるところの歯がない状態なく、治療を終えることができたことと、また、グラフトレスサイナスリフトを施行することにより、従来のサイナスリフトを施行した場合と比較して、6時か月以上早く治療を終えることができたことと、ルートメンブレンテクニックを行うことで、歯肉退縮を少なくでき、自然な見た目で、最終補綴物を装着できました。従来のGBRやサイナスリフトを行わなかったことにより、短時間で、低侵襲に治療を終えることができ、審美面と機能面の回復を行うことができました。

治療の期間・回数:4か月、10回
治療の価格:814,000円(税込)
治療費の内訳:インプラント基本料(フィックスチャー及び手術費用、投薬費用、レントゲン費用、インプラント上部費用(アバットメントおよびジルコニアクラウンの費用用)右上3番5番 330000円×2 660000円(税込み)オプション費用 右上5グラフトレスサイナスリフト費用 33000円(税込み) 右上3抜歯即時荷重費用 33000円(税込み) 暫間インプラント費用 0円
治療のリスクや副作用:手術後に、痛みや腫れ、出血、合併症などを引き起こす可能性があります。噛む感覚がご自身の歯と異なる場合があります。見た目がご自身の歯と異なる場合があります。手術後にメインテナンスを継続しないと、インプラントが抜け落ちる可能性があります。

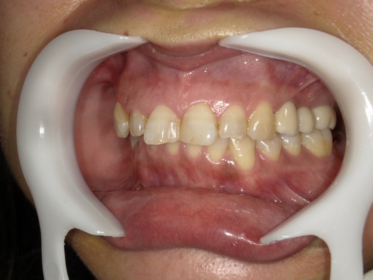
2.右上6番の上顎既存骨2mmのグラフトレスサイナスリフト(骨補填剤を使わない上顎洞挙上術)のケース

Before

枚方市のインプラントの症例
枚方市のインプラントの症例

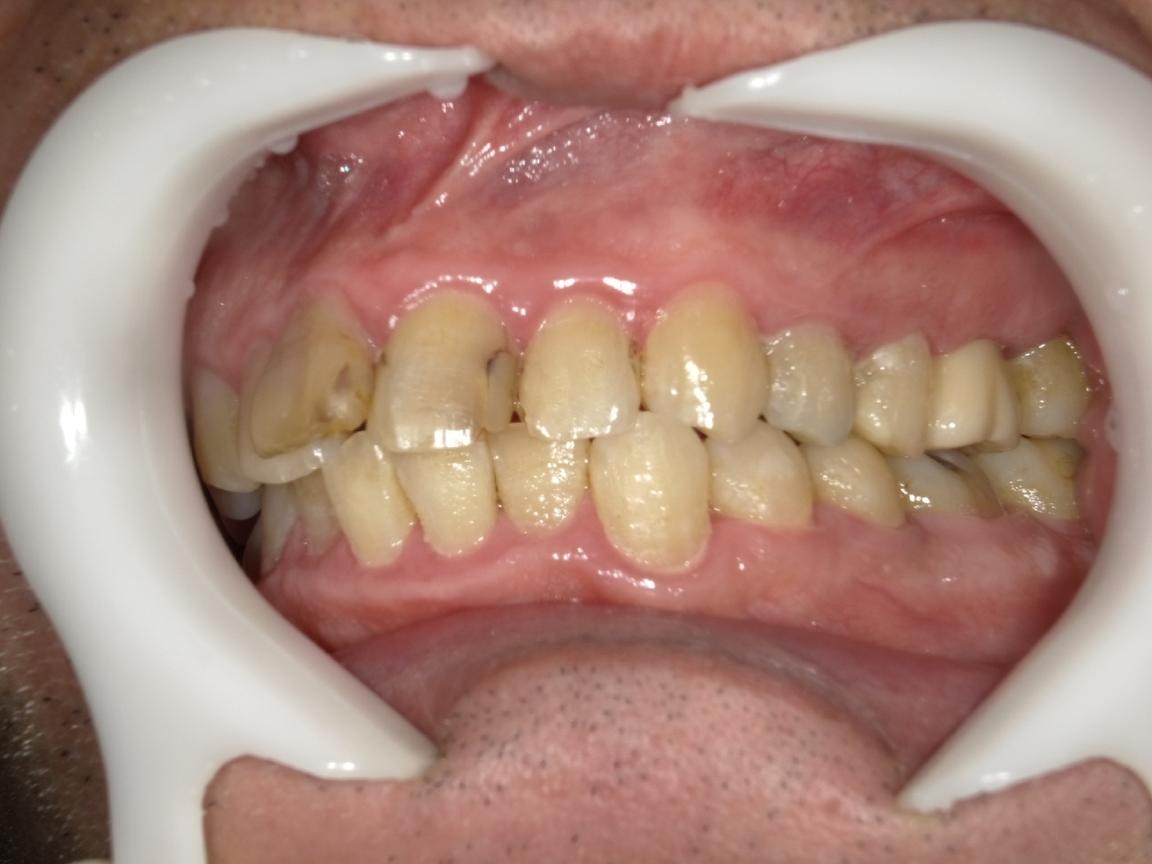
After

枚方市のインプラントの症例
枚方市のインプラントの症例

K・Y 様 女性 50代

症状としては、右上6番の歯が歯周病のため、自然に抜けてしまった。

治療法としては、歯周病により、右側6番の上顎骨が吸収して、2mm程度の骨しか残っていなかったため、サイナスリフトが必要であった。通常のサイナスリフトだと時間(時間的には1年から1年半程度かかると考えます。)と費用がかかり、患者様への時間的、肉体的、金銭的負担が大きくなることを考慮して、今回は、インプラントの種類としては、エクストラワイドショートインプラント、術式としては、デンサーバーを使用したグラフトレスサイナスリフトを選択しました。最終補綴物はジルコニアで仕上げています。

結果としては、高度に吸収した上顎骨に対するインプラント治療であったが、グラフトレスサイナスリフトを行うことで、短時間(2か月半程度)で治療を終えることができた。また、サイナスリフトによくある術後合併症である上顎洞炎を起こすことなく、患者様への肉体的な負担を抑えた治療を行うことができた。また、上顎右側6番にインプラント治療できたことにより、咬合が安定するとともに、歯周病にり患している上顎の他の歯に対する負担を少なくすることができた。

 

治療の期間・回数:約2か月半、6回
治療の価格:363,000円(税込)
治療費の内訳:インプラント基本料(フィックスチャー及び手術費用、投薬費用、レントゲン費用、インプラント上部費用(アバットメントおよびジルコニアクラウンの費用用)330000円(税込み)オプション費用グラフトレスサイナスリフト費用 33000円(税込み)
治療のリスクや副作用:手術後に、痛みや腫れ、出血、合併症などを引き起こす可能性があります。噛む感覚がご自身の歯と異なる場合があります。見た目がご自身の歯と異なる場合があります。手術後にメインテナンスを継続しないと、インプラントが抜け落ちる可能性があります。

3.左上5の頬・舌側の大幅な骨欠損と上顎既存骨3mmまでの骨欠損がおこった症例に対しておこなったインプラント治療

Before

枚方市のインプラントの症例
枚方市のインプラントの症例

After

枚方市のインプラントの症例
枚方市のインプラントの症例

I・K 様 女性 40代

症状としては、左上5の歯根破折を起こしていたため、排膿と自発痛をみとめた。それにともなう骨の大きな欠損。

治療法としては、炎症が強くたったためと、炎症による頬側側歯肉の退縮を認めていたために、まず、抜歯を行い上顎洞内及び歯抜した周囲組織の回復を試みた。その後、患者様がインプラント治療を希望したため、薄い上顎骨に対しては、グラフトレスサイナスリフト、骨欠損部には、人口骨補填を行い、頬側歯肉が退縮していることを改善するために、1回法でリーリングアバットメントを装着して、アバットメントの上に歯肉が覆うようにして、歯肉のボリューム回復を行った。2か月後、インプラントが骨と結合していることを確認して、光学印象を行い、2週間後にアバットメントとジルコニアクラウンを装着した。

治療結果としては、大幅な骨欠損があったが、グラフトレスサイナスリフトと骨欠損部に人工骨を補填して、抜歯した穴が自然に治る状態にしたことで、2か月半という短い期間での治療を完了することができた。(仮に、GBRや通常のサイナスリフトでの治療を行っていたら、最低でも1年は、かかってくる治療であると考える。)また、今回は、即時荷重を避け、1回法での治療を行ったことで、噛めない期間ができてしまったが、1回法で行ったことにより、歯肉のボリュームが増して、ブラッシングがしやすい口腔内環境にすることができた。低侵襲で、短時間で、治療を終えることができ、また、審美性・機能性の回復も行えたことができた。

 

治療の期間・回数:約2.5か月、6回
治療の価格:368,500円(税込)
治療費の内訳:インプラント基本料(フィックスチャー及び手術費用、投薬費用、レントゲン費用、インプラント上部費用(アバットメントおよびジルコニアクラウンの費用用)330000円(税込み)。オプション費用グラフトレスサイナスリフト費用プラス人工骨費用 38500円(税込み
治療のリスクや副作用:手術後に、痛みや腫れ、出血、合併症などを引き起こす可能性があります。噛む感覚がご自身の歯と異なる場合があります。見た目がご自身の歯と異なる場合があります。手術後にメインテナンスを継続しないと、インプラントが抜け落ちる可能性があります。

4.右上5が折れたために、インプラント抜歯即時埋入をおこなったインプラント治療のケース。

Before

枚方市のインプラントの症例
枚方市のインプラントの症例

After

枚方市のインプラントの症例
枚方市のインプラントの症例

T・T 様 女性 40代

症状としては、 右上5番の歯が折れてしまった。保存することは不可能な状態であった

治療法としては、患者様は、歯が折れたことを主訴に来院。インプラント治療を希望したため、抜歯した当日に、インプラント埋入をおこなって、骨欠損部には人工骨を補填した。1か月半後にインプラントが骨と結合していることを確認できたため、光学印象を行い、2か月後に、最終補綴物として、アバットメントとジルコニアクラウンの装着を行いました。

治療結果としては、抜歯したと同時にインプラントを埋入することで、抜歯した穴が自然に治る過程で、インプラントの骨結合と組織の治癒が同時に行われるために、2か月という治療期間で治療を終了することができたことと、機能面・審美面でも回復を行うができた。

 

治療の期間・回数:約2か月、インプラント抜歯即時埋入から最終補綴物装着まで4回
治療の価格:352,000円(税込)
治療費の内訳:インプラント基本料(フィックスチャー及び手術費用、投薬費用、レントゲン費用、インプラント上部費用(アバットメントおよびジルコニアクラウンの費用用)330000円(税込み)。オプション、抜歯即時埋入加算(人工骨費用を含む) 22000円(税込み)
治療のリスクや副作用:手術後に、痛みや腫れ、出血、合併症などを引き起こす可能性があります。噛む感覚がご自身の歯と異なる場合があります。見た目がご自身の歯と異なる場合があります。手術後にメインテナンスを継続しないと、インプラントが抜け落ちる可能性があります。

5.左上4番のインプラント抜歯即時埋入、左上6番の上顎既存骨1から2mmのグラフトレスサイナスリフト、左下56の大幅な骨欠損により、下顎神経の損傷を回避するために、ショートインプラントを使用し、左下56にインプラントを埋入し、最終補綴物は、左上456の3ユニットのジルコニアブリッジし、左下56は、ジルコニアの連結冠を装着したケース

Before

枚方市のインプラントの症例
枚方市のインプラントの症例

After

枚方市のインプラントの症例
枚方市のインプラントの症例

M・I 様 女性 70代

症状としては、左下56は、歯周病で欠損したと考えられるが、かなりの骨欠損をともなっていた。左上456に関しては、動揺が大きく、炎症が起き、排膿、および、歯性上顎洞炎を起こしていた。

治療法としては、動揺がひどくなってきて、炎症の症状もあったため、左上56の抜歯を希望。インプラント治療をその後、希望したため、左上4に関しては抜歯即時埋入。左上6に関しては、既存骨1から2mmでインプラント治療が厳しい状態であったが、グラフトレスサイナスリフトを行い、治療期間5か月はかかるということを説明して、インプラント埋入をおこないました。その後、2か月半後、大幅に骨が欠損している下顎56に対して、ショートインプラントを使用して、下顎神経の損傷を避けて、インプラント埋入を終えています。その後2か月後に光学印象で印象を行い、上顎刺億456歯、3ユニットのジルコニアブリッジを装着。下顎左側56に関しては、骨欠損が大きいため、歯冠長がだいぶ長くなるため、ジルコニアの連結冠を装着して治療を終えた。

治療結果は、上顎6に関しては、既存骨が少なく、厳しい治療ではありましたが、5か月で治療を終え、患者様の負担を最小限に抑えるができたと考えます。(従来のサイナスリフトでは、このようなケースでは1年以上、1年程度の治療期間がかかるか、治療が不可能と言われるケースだと考えます。)また、下顎は骨欠損が大きく、下歯槽管のリスクが起きることが考えられますが、ショートインプラントを使用することで安全に治療を行うことができました。

 

治療の期間・回数:治療期間5か月(上顎456 3ピースブリッジの治療は5か月(上顎既存骨が2mm程度しかなく、骨結合に時間がかかるケースであったために、5か月の治療期間が必要であった。)(左下56に関しては2か月半で治療を終えています。)治療回数は、13回。
治療の価格:1,474,000円(税込)
治療費の内訳:左上46および左下56のインプラント基本料(フィックスチャー及び手術費用、投薬費用、レントゲン費用、インプラント上部費用(アバットメントおよびジルコニアクラウンの費用用)330000円(税込み)×4本分 1320000円(税込)。左上5ジルコニアポンテック費用88000円(税込)。オプション費用、左上4抜歯即時埋入加算(人工骨費用を含む)+グラフトレスサイナスリフト費用 33000円(税込)、左上6グラフトレスサイナスリフト費用 33000円(税込)
治療のリスクや副作用:手術後に、痛みや腫れ、出血、合併症などを引き起こす可能性があります。噛む感覚がご自身の歯と異なる場合があります。見た目がご自身の歯と異なる場合があります。手術後にメインテナンスを継続しないと、インプラントが抜け落ちる可能性があります。

枚方市でインプラント治療が上手い歯科医院をお探しですか?「とくだ歯科クリニック」は、痛みの少ない治療を目指し、明確な費用を提示する歯医者です。

 

インプラントの症例 ページ 、3、4,5(3以降は製作中)

ページの番号を押すとページにリンクします。

 

 

枚方市の歯医者・歯科医院ならとくだ歯科クリニック

とくだ歯科クリニック 院長 德田 信吾

資格

歯科医師

検診・歯石とり・歯のクリーニング・フッ素塗布などもご予約いただけます。3か月先のご予約もお気軽にどうぞ。

072-851-0500

診療時間

 
午前
午後

月から金 午前:9:00~12:30
     午後:14:00~19:00
土    △  9:00~13:00

休診日:土曜午後・日曜・祝日

072-851-0500

〒573-0157
大阪府枚方市藤阪元町3-35-1

・「藤阪中町」バス停から徒歩1分

・JR学研都市線(片町線)
 「長尾駅」「藤阪駅」から徒歩9分、
車で5分
 「津田駅」から車で9分
 「松井山手駅」から車で11分
・京阪本線「枚方市駅」から車で20分